متخصص کودکان و فوق تخصص ریه اطفال

عضو انجمن ریه اطفال اروپا ERS

سایت رسمی دکتر بابک قالیباف

,.Dr. Babak Ghalibaf, M.D

,Pediatric Pulmonologist

ERS member

دکتر بابک قالیباف

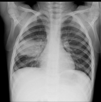
پنومونی

پنومونی عفونت دستگاه تنفسی تحتانی است که مجاری وبافت ریه را در گیر خود کرده وباعث اشغال فضای آلوئولی (کیسه های هوایی) می شود. اگر چه شایعترین علت پنومونی بیماریهای ویروسی است ولی در این بخش منظور ما از پنومونی، پنومونیهای چرکی است که می تواند خود را به صورت تب،افزایش تعداد نفسها وتنفس مشکل نشان دهد.
منظور از افزایش تعداد نفسها، تعداد نفسهای بالاتر از60 در دقیقه در شیرخواران زیر2 ماه وبالاتر از 50 در شیرخواران 2 ماهه تا یکساله وبیش از40 عدد در دقیقه در کودکان بالای یکسال تا پنج سالگی می باشد.
اگر چه اغلب پنومونیها ممکن است در زمینه بیماری خاصی بوجود نیایند ولی تکرار آن می تواند نشان دهنده عامل زمینه ای باشد که عود آن را توجیه کند مثلا ممکن است پنومونی به دنبال اختلالات ایمنی و یا مشکلات ساختاری مادرزادی در ریه ویا اختلالات بلع یارفلاکس های مکرر(برگرداندن محتویات معده به داخل مری که می تواند باعث ورود این محتویات به داخل مجاری تنفسی شود) اتفاق افتد.گاها آسپراسیون جسم خارجی نیز میتواندباعث پنومونی ثانویه گردد . پنومونیهایی را که در بیمارستان و به دنبال ورود باکتریها به ریه اتفاق می افتند پنومونی بیمارستانی می نامند و معمولا درمان این پنومونیها مشکل تر است .

درمان

در بسیاری از موارد پنومونی را می توان به طور سرپایی و با آنتی بیوتیک متناسب با سن بیمار درمان کرد ولی در موارد زیر توصیه می گردد که درمان بیمار در بیمارستان انجام شود:

  • کودکان زیر شش ماه
  • اختلالات ایمنی
  • دسیترس(تنفس مشکل)شدید
  • نیاز به اکسیژن
  • استفراغ یا کم آبی کودک
  • عدم پاسخ به درمانهی اولیه با آنتی بیوتیک خوراکی

تشخیص افتراقی:

برونشیولیت (به مبحث مربوطه مراجعه شود) و حمله آسم جزء شایعترین بیماریهایی است که با پنومونی اشتباه گرفته می شود . بیماریهای قلبی و سایر علل دیسترسهای تنفسی نیز گاها می تواند علائم شبیه پنومونی داشته باشند.همانطور که اشاره شد در صورت تکرار پنومونی باید علتهای اولیه را نیز در نظر داشت.

عوارض وپیش آگهی :

پنومونی ممکن است باعث ایجاد مایع داخل جنبی گردد (جنب به فضای بین ریه و قفسه سینه گفته می شود) در این مواقع مایع در فضای بین ریه وقفسه سینه ودر داخل جنب دیده می شود. عفونت والتهاب می تواند باعث  تخریب بافت ریه و گشاد شدن مجاری تنفسی گردد که این خود زمینه را برای عفونتهای بعدی آماده می کند. از موارد دیگر آبسه ریه می باشد که معمولا بدنبال آسپراسیون در کودکان ایجاد می شود.ارزیابی پاسخ به درمان انتی بیوتیک در پنومونی بیشتر بر اساس یافته های بالینی مانند کاهش تب و دیستریس  تنفسی و بهبود حال عمومی بیمار می باشد ولی یافته های غیرطبیعی در عکس سینه ممکن است برای چندین هفته باقی بماند.

پیشگیری :

واکسیناسیون عمومی کودکان در برابر باکتری های هموفیلوس آنفلوترا وپنوموکوک می تواند از شیوع این بیماری بکاهد. در مورد پنومونیهای تکرار شونده ناشی از آسپراسیون ، درمان ریفلاکس می تواند مانع بروز پنومونیهای مجدد شود(مراجعه به قسمت بیماریهای آسپیراتیو). واکسیناسیون سالیانه آنفلولانزا نیز می تواند مانع ایجاد بیماری آنفلونزا گردد. اگر چه این بیماری ویروسی است ولی علائم ان می تواند مشابه پنومونی چرکی باشد و در حقیقت این بیماری یک بیماری پنومونی ویروسی است.